Ολική Αποκατάσταση Στόματος
Αποκαθιστώντας την Αισθητική του Χαμόγελου
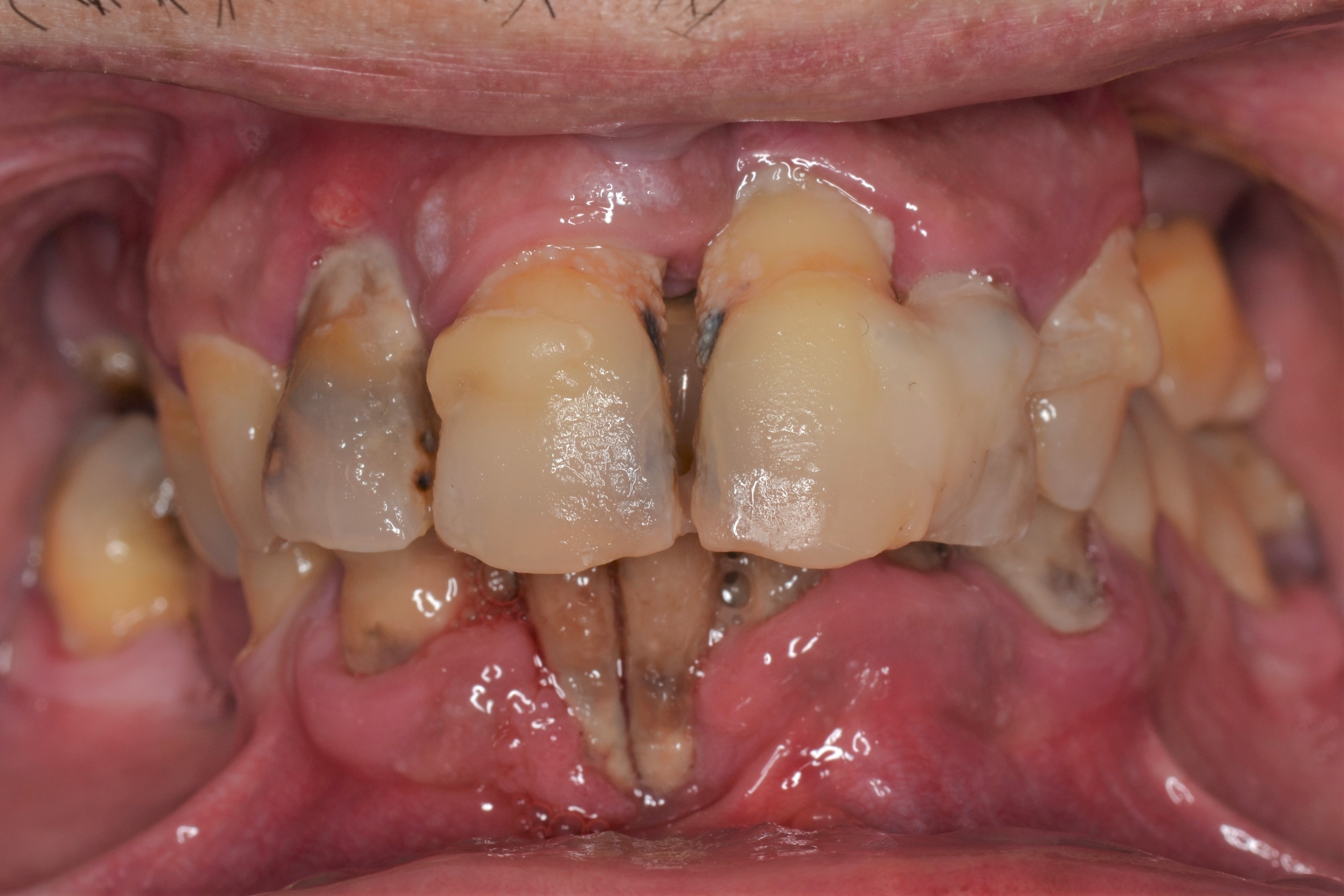
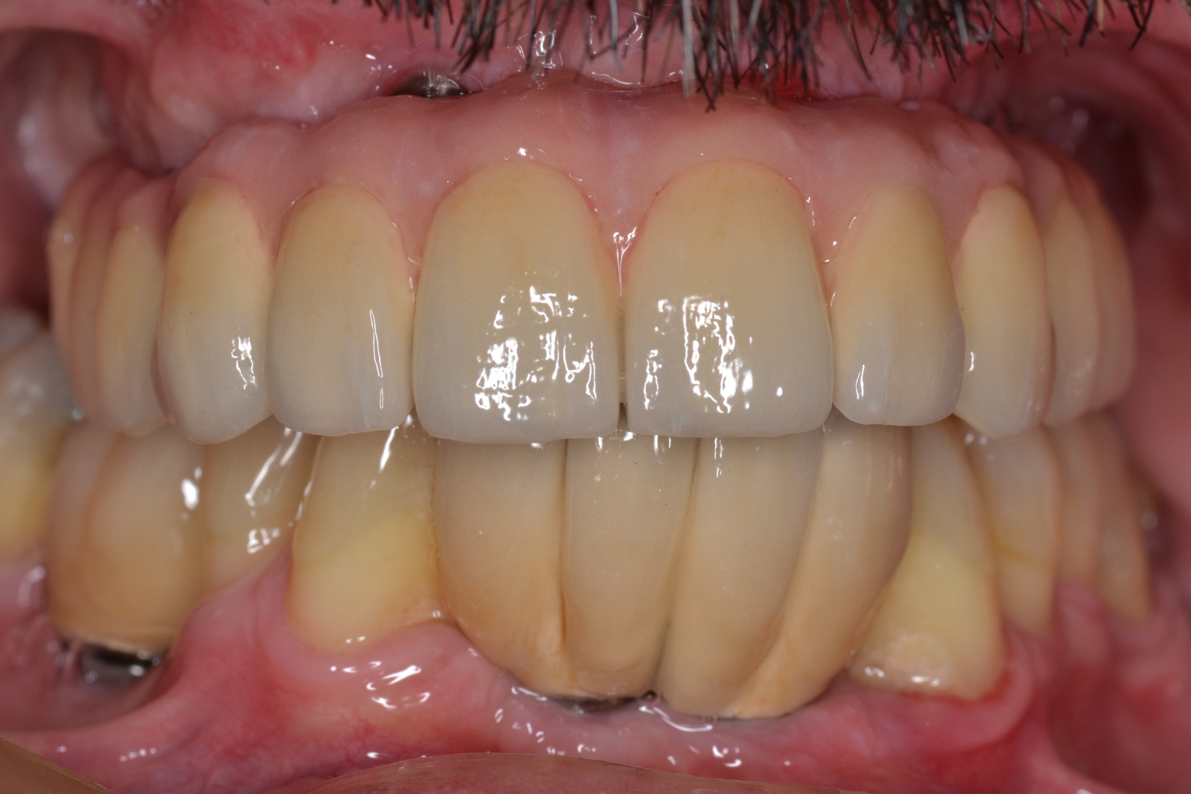
Ο ασθενής αυτός ήταν έντονα δυσαρεστημένος με την εμφάνιση των άνω και κάτω δοντιών του. Τα δοντια του ηταν σε τερματικό στάδιο και η μάσηση ήταν σχεδόν αδύνατη.
Με την χρήση οδοντικών εμφυτευμάτων καταφέραμε να αποκαταστήσουμε το στόμα του.
Οι νέες μεταλλοκεραμικές γέφυρες που κατασκευάστηκαν, αποκατέστησαν την αισθητική ισορροπία του χαμόγελου, την σωστή μάσηση και επανέφεραν την αυτοπεποίθηση του ασθενούς.
Ολική Αναδόμηση Χαμόγελου με την Χρήση Συνδιασμού Λεύκανσης και Ολοκεραμικών όψεων και γεφυρών.
Ο 35χρονος αυτός ασθενής προσήλθε στο ιατρείο παραπονούμενος για το χρώμα και το σχήμα των άνω προσθίων δοντιών του καθώς και για το χρώμα των κάτω προσθίων δοντιών του.
Μετά από ένα βαθύ καθαρισμό των δοντιών, αποφασίστηκε να αποκατασταθούν τα άνω δόντια με νέες ολοκεραμικές όψεις και γέφυρες για σωστή απόδοση χρώματος και σχήματος.
Το χρώμα των κάτω δοντιών βελτιώθηκε μετά απο 3 συνεδρίες λεύκανσης στο ιατρείο.
Αποκατάσταση Μιας Βαρειά Φθαρμένης Οδοντοφυίας
Η ασθενής της φωτογραφίας (65 ετών) προσήλθε στο ιατρείο παραπονούμενη για δυσκολία στη μάσηση. Ηταν επίσης δυσαρεστημένη με την όψη που είχαν τα φυσικά της δόντια.
Είχε επί χρόνια παραμελήσει την στοματική της υγεία με αποτέλεσμα πολλαπλές εξαγωγές των πίσω δοντιών της και φθορά των μπροστινών.
Το στόμα της αποκαταστάθηκε με μεταλλοκεραμικές στεφάνες και γέφυρες στα άνω δόντια και στα κάτω πρόσθια, ενώ στην κάτω γνάθο τοποθετήθηκε επίσης μια μερική οδοντοστοιχεία με άγκιστρα.
Μετά το πέρας της θεραπείας, η όψη του στόματος είχε βελτιωθεί δραματικά και η ίδια ανέφερε οτι πλέον μπορούσε να μασήσει όλες τις τροφές χωρίς περιορισμούς.
ΥΠΗΡΕΣΙΕΣ
ολοκληρωμένη περίθαλψη χρησιμοποιώντας τα πιο σύγχρονα μέσα και εξατομικευμένα πλάνα θεραπείας για τις ανάγκες εκάστοτε ασθενή.














