Προσθετική - Οδοντοστοιχίες
Οδοντοστοιχίες
Οδοντοστοιχίες με μεταλλικό σκελετό
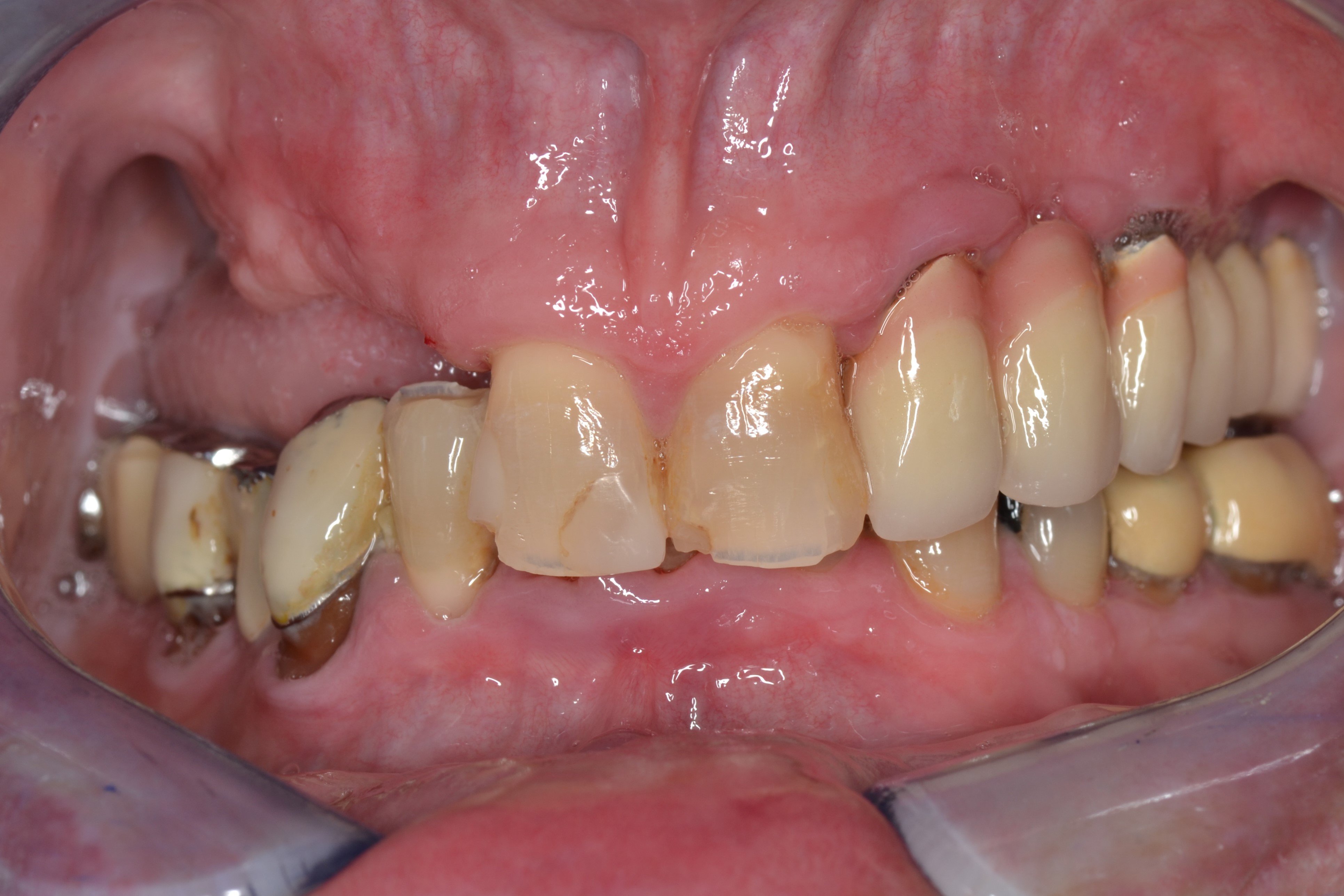
Ο 81-χρονος αυτός ασθενής μας προσήλθε στο ιατρείο με μερικά ελλείποντα δοντια στην άνω γνάθο και σπασίματα στα πρόσθια δόντια.
Πάρθηκε ψηφιακό αποτύπωμα με τον σαρωτή TRIOS και του κατασκευάσαμε μια μερική οδοντοστοιχία με μεταλλικά βαμμένα άγκιστρα στην άνω γνάθο για να αποκαταστήσουμε τα δοντια που έλλειπαν.
Επίσης, το σχήμα των προσθίων δοντιών αποκαταστάθηκε με σφραγίσματα συνθετικής ρητίνης.
Η βελτίωση στην αισθητική του στόματος ενθουσίασε τον ασθενή μας.
Οδοντοστοιχίες χωρίς μεταλλικό σκελετό
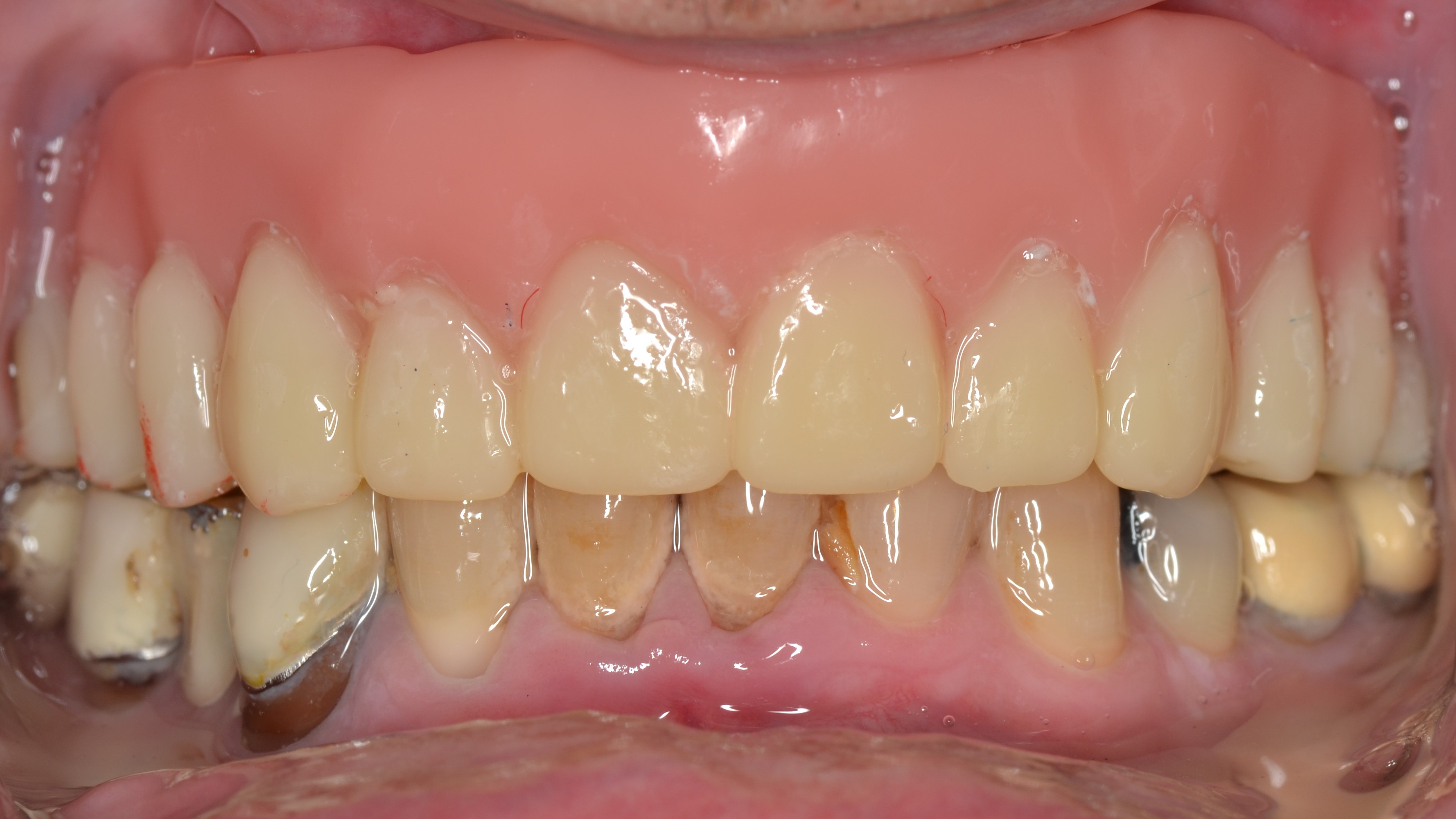
Ο ασθενής προσήλθε στο ιατρείο προκειμένου να βρει μια λύση για τα υπόλοιπα δόντια της άνω γνάθου που κουνούσαν και πονούσαν στην μάσηση.
Πάρθηκε ψηφιακό αποτύπωμα με τον σαρωτή TRIOS και μετά τις εξαγωγές των δοντιών, του κατασκευάσαμε μια ολική οδοντοστοιχία για να αποκαταστήσουμε τα δοντια που έλλειπαν.
Η βελτίωση στην αισθητική και στην λειτουργία του στόματος ενθουσίασε τον ασθενή μας.
ΥΠΗΡΕΣΙΕΣ
ολοκληρωμένη περίθαλψη χρησιμοποιώντας τα πιο σύγχρονα μέσα και εξατομικευμένα πλάνα θεραπείας για τις ανάγκες εκάστοτε ασθενή.








