Στεφάνες & Γέφυρες
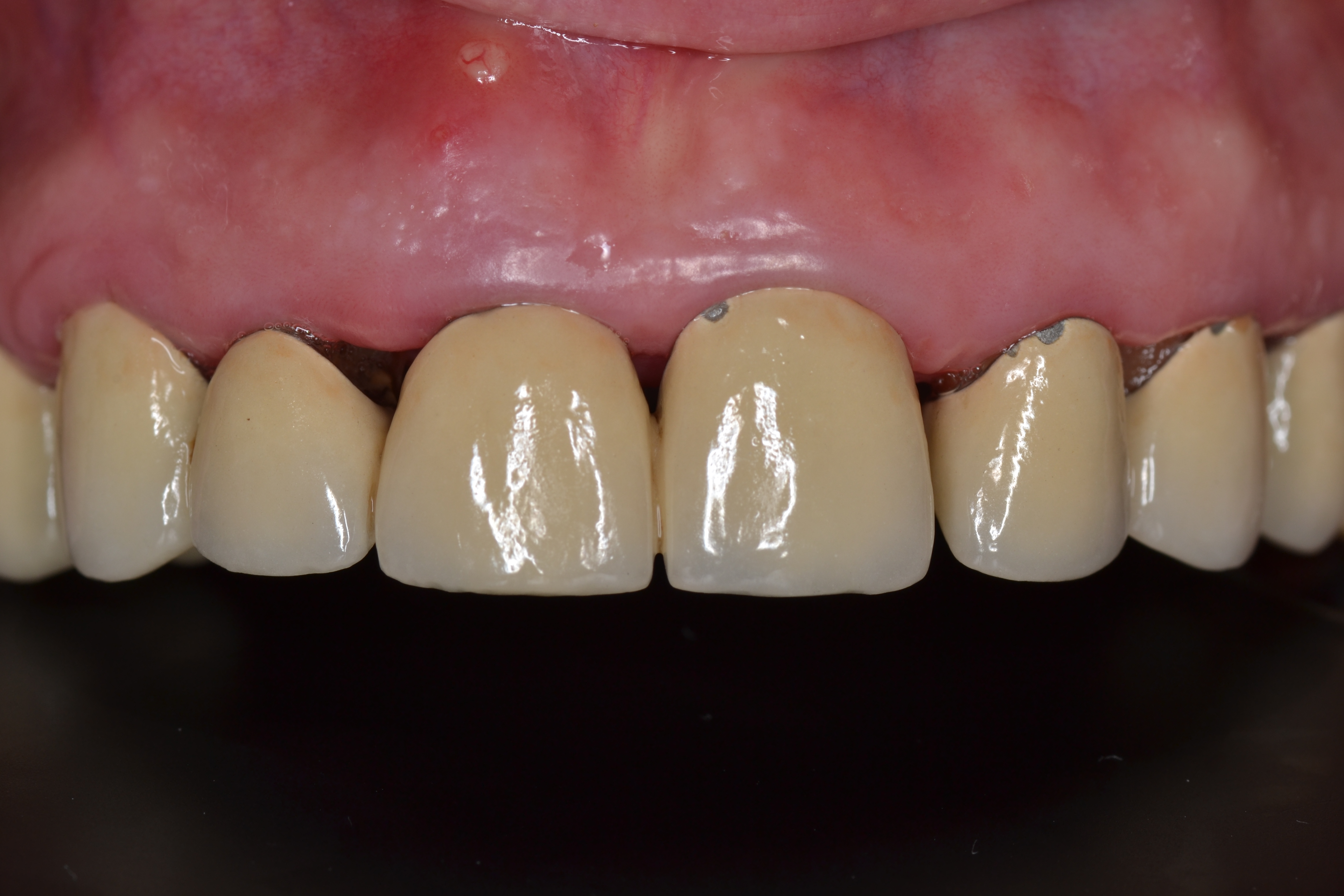
Αντικαθιστώντας μια παλιά γέφυρα πορσελάνης με κακή εφαρμογή
Η παλιά γέφυρα δεν εφάρμοζε καλά στα δόντια στηρίγματα και το κενό μεταξύ αυτής και των ούλων μάζευε τροφή και καθιστούσε την στοματική υγιεινή δύσκολη.
Η γέφυρα αντικαταστάθηκε με μια νέα γέφυρα μεταλλοπορσελάνης.
Η βελτίωση στην εφαρμογή και στην αισθητική ειναι εμφανής.
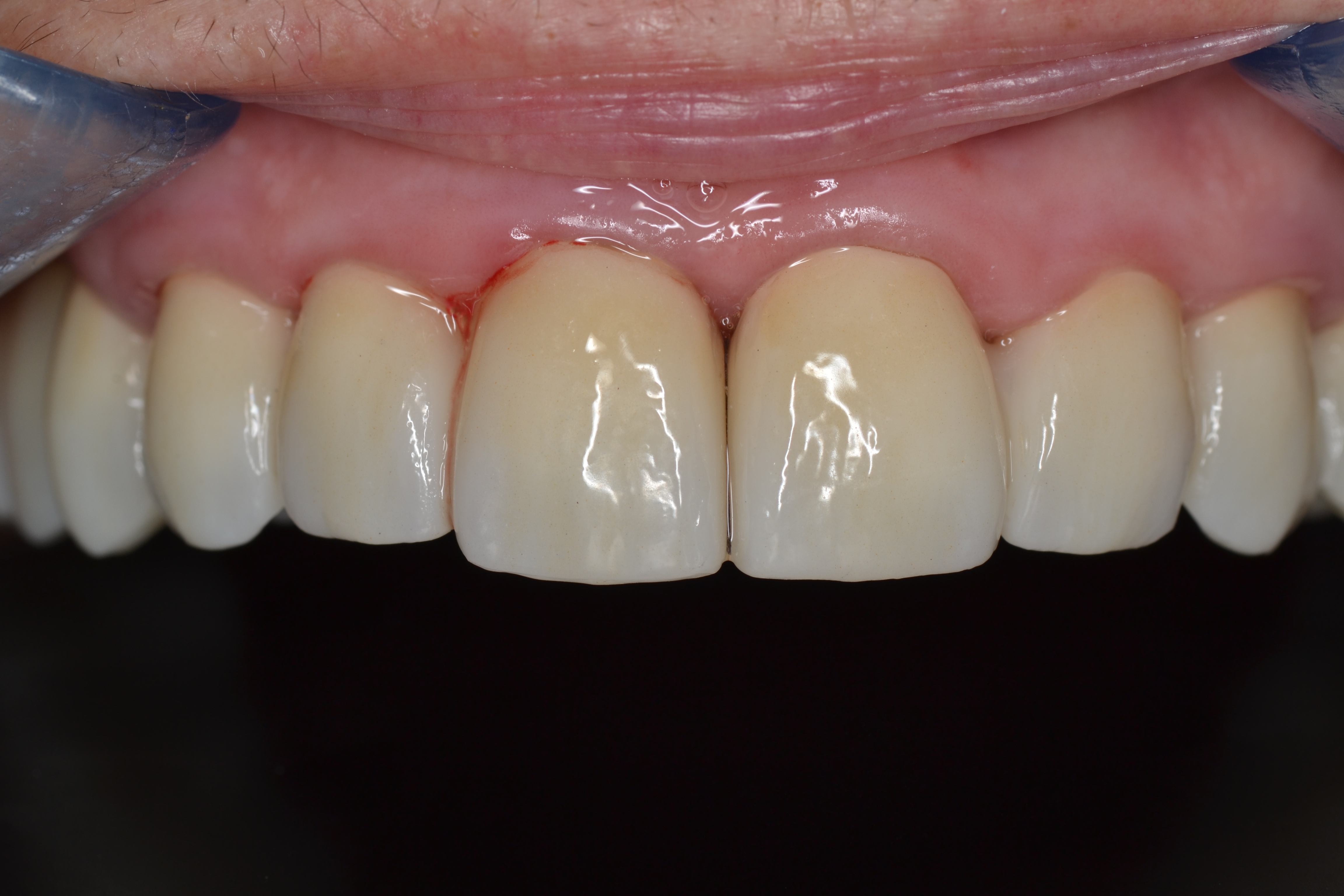
Αποκαθιστώντας απονευρωμένα δόντια με στεφάνες μεταλλοπορσελάνης
Αντικαταστάθηκε με νέα γέφυρα ζιρκονίας σε όλα τα δόντια της γνάθου. Η ασθενής ήταν εξαιρετικά ευχαριστημένη με το νέο χαμόγελο της.
Διορθώνοντας ένα ορθοδοντικό πρόβλημα με προσθετικά μέσα
Ο 38χρονος αυτός άντρας προσήλθε στο ιατρείο παραπονούμενος για το μέγεθος και την θέση του άνω δεξιά πλαγίου τομέα ο οποίος έδειχνε μικρός σε σχέση με τα διπλανά δόντια.
Δεν επιθυμούσε να διορθώσει το πρόβλημα με ορθοδοντικά μέσα.
Η αποκατάσταση του χαμόγελου έγινε με τοποθέτηση μιας νέας μεταλλοκεραμικής γέφυρας σε προγομφίους, κυνόδοντα και πλάγιο τομέα δεξιά άνω.
Η βελτίωση στο χαμόγελο είναι εμφανής.
Βελτίωση του χαμόγελου με την χρήση ολοκεραμικών αισθητικών υλικών
Με συνδιασμό οδοντικής λεύκανσης, αλλαγής των υπάρχοντων λευκών σφραγισμάτων καθώς και με χρήση της τελευταίας γενιάς ολοκεραμικών στεφανών τύπου E-max, καταφέραμε να την κάνουμε να χαμογελάσει ξανά!
ΥΠΗΡΕΣΙΕΣ
ολοκληρωμένη περίθαλψη χρησιμοποιώντας τα πιο σύγχρονα μέσα και εξατομικευμένα πλάνα θεραπείας για τις ανάγκες εκάστοτε ασθενή.












