Όψεις Πορσελάνης & Ρητίνης
Κεραμικές όψεις E-Max τελευταίας τεχνολογίας
Τα άνω δόντια του νεαρού αυτού ασθενή ήταν αποχρωματισμένα λόγω παλαιών σφραγισμάτων ρητίνης.
Ολα τα πρόσθια δόντια στην άνω γνάθο αποκαταστάθηκαν με ολοκεραμικές όψεις τύπου E-Max.
Οι φθαρμένοι και αποχρωματισμένοι κεντρικοί και πλάγιοι κάτω τομείς σε αυτόν τον βαρύ καπνιστή απέκτησαν ξανά την αισθητική τους με την χρήση 4 ολοκεραμικών όψεων τύπου E-Max.
Ανάλυση και διόρθωση χαμόγελου με την χρήση ολοκεραμικών όψεων E-Max
Η νεαρή αυτή ασθενής προσήλθε στο ιατρείο παραπονούμενη για την θέση των άνω αριστερών τομέων της και του άνω αριστερού κυνόδοντα καθώς επίσης και για την λανθασμένη μέση γραμμή του χαμόγελου.
Η ανάλυση του χαμόγελου της εέδειξε οτι αυτό γέρνει προς τα κάτω στην δεξιά πλευρά. Επιπρόσθετα, οι αριστεροί τομείς ήταν αρκετά κοντύτεροι σε σχέση με τα αντίστοιχα δόντια της δεξιάς πλευράς.
Ακόμα, ο αριστερός προγόμφιος,ο οποίος είχε μετακινηθεί ορθοδοντικά στην θέση του ελλείποντα αριστερού κυνόδοντα, έδειχνε επίπεδος στην εξωτερική του επιφάνεια, συγκρινόμενος με τον δεξιό κυνόδοντα.
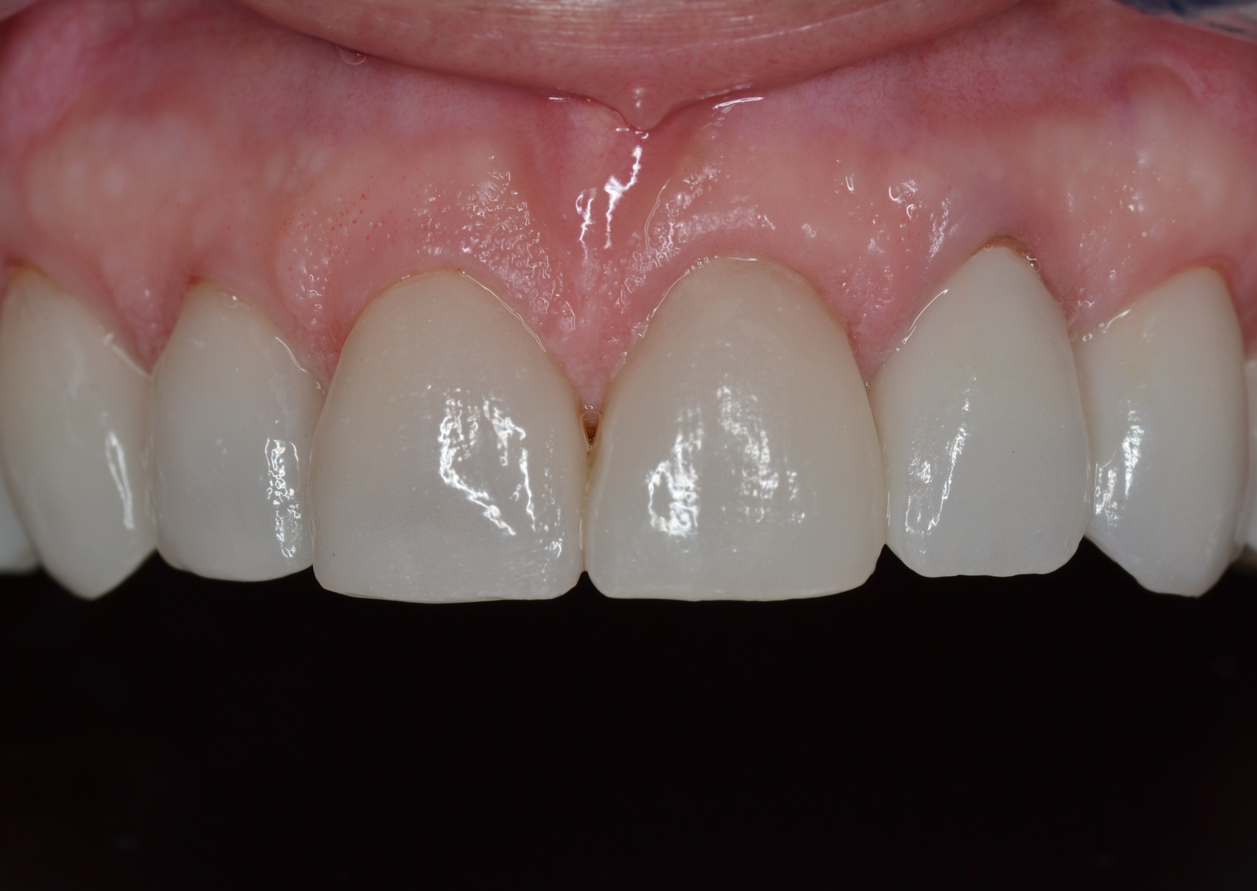
Το χαμόγελο επανασχεδιάστηκε και αποκαταστάθηκε με την χρήση ολοκεραμικών όψεων E-Max, οι οποίες διόρθωσαν το αισθητικό πρόβλημα με συντηρητικό τρόπο, ικανοποιώντας απόλυτα τις απαιτήσεις της ασθενούς.
Επανασχεδιάζοντας το χαμόγελο με κεραμικές όψεις E-Max
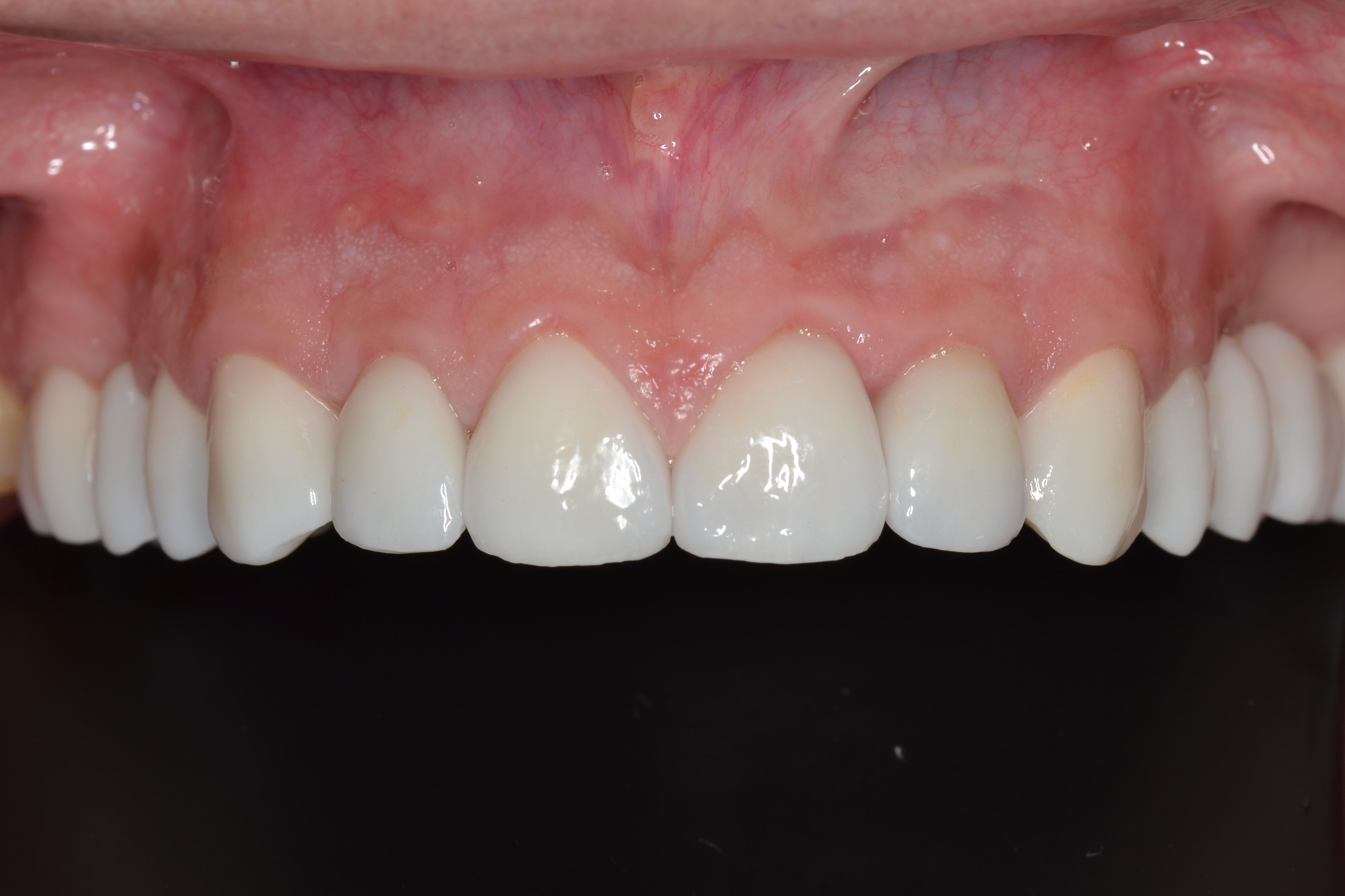
Η ασθενής της φωτογραφίας προσήλθε στο ιατρείο παραπονούμενη για την αισθητική των προσθίων δοντιών της άνω γνάθου και κατά προέκταση του χαμόγελου της.
Το χαμόγελο της αποκαταστάθηκε με συνδιασμό όψεων πορσελάνης E-Max και στεφανών ζιρκονίας/πορσελάνης σε όλα τα άνω δόντια,
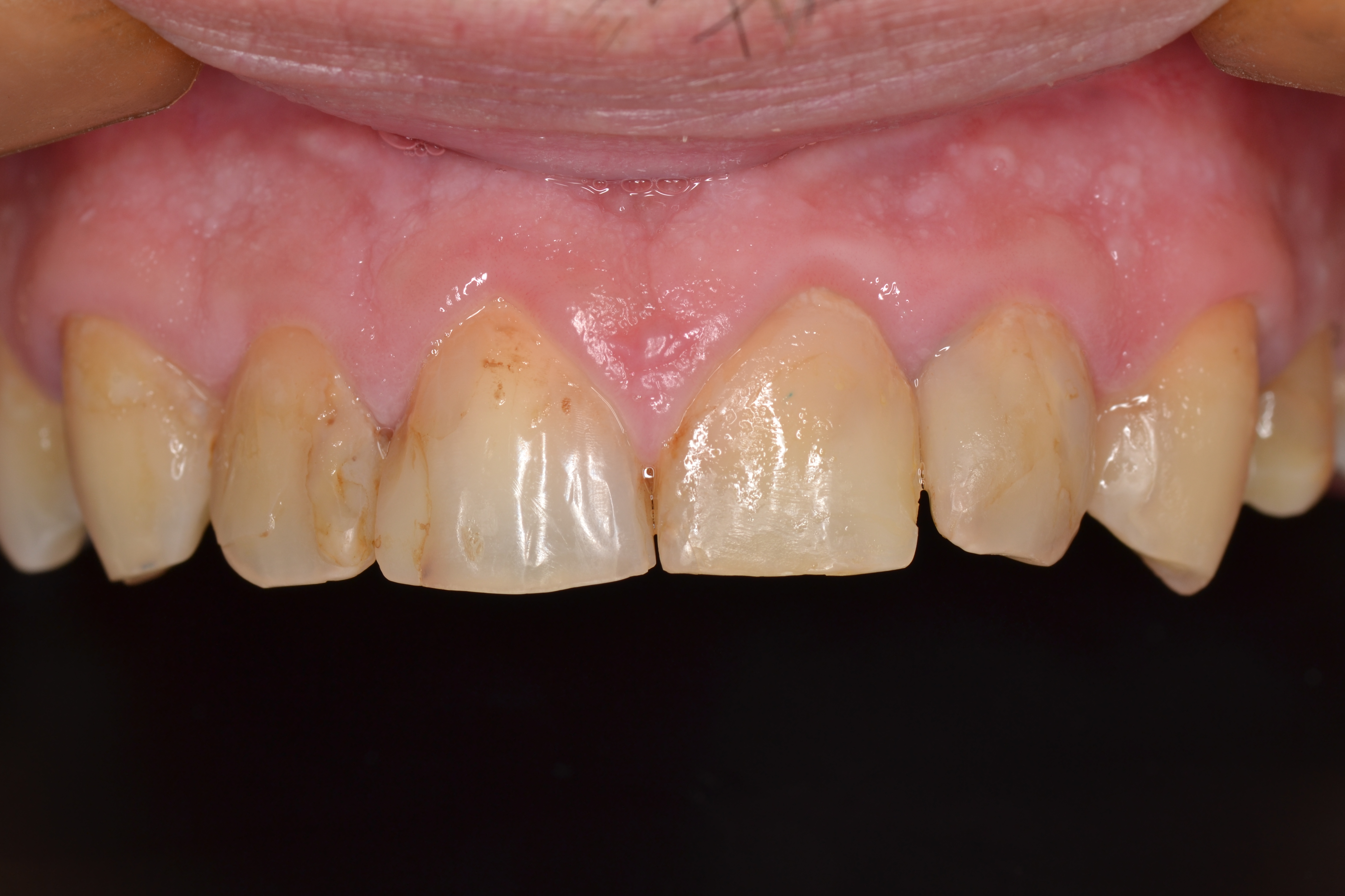
Η ασθενής παραπονιόταν ότι τα πρόσθια δόντια της άνω γνάθου φαίνοταν κοντά και φθαρμένα.
Αποφασίσαμε να επανασχεδιάσουμε το χαμόγελο της χρησιμοποιώντας όψεις πορσελάνης τελευταίας γενιάς E-Max.
Τα μέτρα για τις όψεις πάρθηκαν με την χρήση του ψηφιακού σαρωτή TRIOS (3shape) και το τελικό αποτέλεσμα ενθουσίασε την ασθενή μας.
ΥΠΗΡΕΣΙΕΣ
ολοκληρωμένη περίθαλψη χρησιμοποιώντας τα πιο σύγχρονα μέσα και εξατομικευμένα πλάνα θεραπείας για τις ανάγκες εκάστοτε ασθενή.


















