Πώς τα Εμφυτεύματα Μπορούν να Αυξήσουν την Σταθερότητα των Οδοντ/χειών;
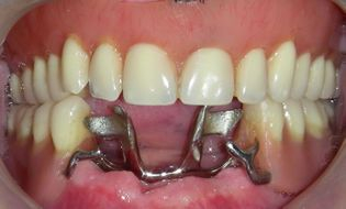
Ο 64χρονος ασθενής της φωτογραφίας έχασε τα τελευταία δόντια της κάτω γνάθου τα οποία συγκρατούσαν την οδοντοστοιχεία του.
Το αποτέλεσμα ήταν η κάτω οδοντοστοιχεία του να είναι ασταθής και να είναι αδύνατον για τον ασθενή να μασήσει με αυτή. Τοποθετήθηκαν 2 εμφυτεύματα τιτανίου στην κάτω γνάθο και συνδέθηκαν με την καινούρια ολική οδοντοστοιχεία του μέσω ειδικών συγκρατητικών συνδέσμων.Κατασκευάστηκε, επίσης, και μια νέα άνω ολική οδοντοστοιχεία.
Το τελικό αποτέλεσμα, όπως φαίνεται και στις φωτογραφίες, αποτελεί τεράστια βελτίωση της στοματικής κατάστασης του ασθενούς, τόσο λειτουργικά όσο και αισθητικά.
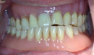
Ο ασθενής της φωτογραφίας (53 ετών) προσήλθε στο ιατρείο παραπονούμενος για τις ασταθείς και χαλαρές οδοντοστοιχίες του.
Δυσκολευόταν πολύ στην μάσηση και δεν ήταν καθόλου ευχαριστημένος με την αισθητική των παλιών οδοντοστοιχειών του. Τοποθετήσαμε 4 εμφυτεύματα στην άνω γνάθο και 2 εμφυτεύματα στην κάτω γνάθο.
Ένα καινούριο σέτ ολικών οδοντοστοιχειών οι οποίες κούμπωναν πάνω στα εμφυτεύματα κατασκευάστηκε για τον ασθενή μας.
Η άνω ολική οδοντοστοιχεία είχε εσωτερική μεταλλική ενίσχυση προκειμένου να μπορέσουμε να ικανοποιήσουμε την επιθυμία του ασθενή να μην έχει ουρανίσκο η νέα οδοντοστοιχεία.
Η προσαρμογή του στις νέες οδοντοστοιχίες ήταν γρήγορη και σύντομα μπορούσε να τραφεί ξανά με σκληρές τροφές και να χαμογελάσει ελεύθερα.
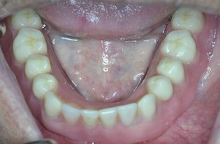
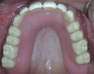
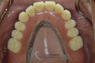
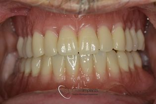
Ο παραπάνω ασθενής προσήλθε στο ιατρείο παραπονούμενος για κινητικότητα των οδοντοστοιχειών οι οποίες με την χρόνια χρήση είχαν φθαρεί με αποτέλεσμα να μην εφαρμόζουν καλά και επιπλέον να δίνουν στο πρόσωπο μια "θλιμμένη" όψη όπως φαίνεται χαρακτηριστικά στις αρχικές φωτογραφίες.
Στην άνω γνάθο του ασθενούς τοποθετήθηκαν 4 εμφυτεύματα και κατασκευάστηκε μια νέα επένθετη οδοντοστοιχεία η οποία "κουμπώνει" πάνω στα εμφυτεύματα.
Στην κάτω γνάθο κατασκευάστηκε μια νέα ολική οδοντοστοιχεία.
Η βελτίωση στο προφίλ και η αποκατάσταση της εμφάνισης του προσώπου μετά την ολοκλήρωση της θεραπείας με τις νέες οδοντοστοιχείες ειναι εμφανέστατη.
ΥΠΗΡΕΣΙΕΣ
ολοκληρωμένη περίθαλψη χρησιμοποιώντας τα πιο σύγχρονα μέσα και εξατομικευμένα πλάνα θεραπείας για τις ανάγκες εκάστοτε ασθενή.






















