Μονήρη Εμφυτεύματα
Αποκατάσταση ενός ελλείποντος δοντιού με εμφύτευμα & στεφάνη
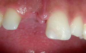
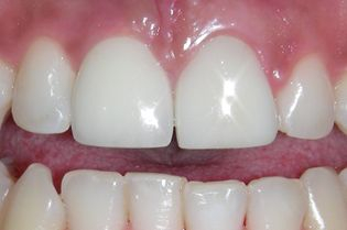
Ο 21χρονος αυτός ασθενής έχασε τον άνω δεξιό κεντρικό τομέα του σε ατύχημα. Στο ίδιο ατύχημα ράγισε και ο αριστερός κεντρικός άνω τομέας.
Το ελλείπον δόντι αποκαταστάθηκε με τοποθέτηση ενος εμφυτεύματος στην θέση του και μια στεφάνη μεταλλοπορσελάνης ενώ στο ραγισμένο δόντι τοποθετήθηκε μια ολοκεραμική όψη τελευταίας γενιάς τύπου Ivoclar Vivadent E-Max για να αποδοθεί ομοιόμορφα το σχήμα των δυο δοντιών.
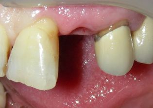
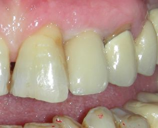
Ενα εμφύτευμα τοποθετήθηκε στην θέση του άνω αριστερού πλαγίου που είχε χαθεί και το κενό αποκαταστάθηκε με μια στεφάνη μεταλλοπορσελάνης σε αυτήν την 60χρονη ασθενή.
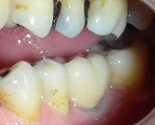
Ο 65χρονος αυτός ασθενής είχε χάσει τον αριστερό κάτω πρώτο γομφίο του. Τοποθετήθηκε εμφύτευμα στην θέση του δοντιού και το κενό αποκαταστάθηκε με μια στεφάνη μεταλλοπορσελάνης.
ΥΠΗΡΕΣΙΕΣ
ολοκληρωμένη περίθαλψη χρησιμοποιώντας τα πιο σύγχρονα μέσα και εξατομικευμένα πλάνα θεραπείας για τις ανάγκες εκάστοτε ασθενή.










